Имплантация за 1 день в Минске: как в «Клинике Миллениум» технологии дарят быструю улыбку

Имплантация за один день — услуга, которая в «Клинике Миллениум» стала доступной каждому: пациенты выходят уже с новыми зубами, без боли, страха и долгого ожидания. Но такая скорость невозможна без главного: атмосферы доверия и абсолютного комфорта, которые создаются для пациента ещё до первого визита.
Как однажды в кресле стоматолога можно перестать бояться навсегда
Современная стоматология начинается с понимания эмоций. Люди приходят не в лучшей жизненной ситуации — с болью, эстетическими проблемами, отсутствием зубов, страхом лечения или опасением высокой стоимости. Поэтому здесь особое внимание уделяют не только профессионализму, но и человеческому отношению.

— Мы знаем, что человек приходит к нам с переживаниями, и наша задача — сделать так, чтобы в «Клинике Миллениум» он почувствовал спокойствие и уверенность уже при первом общении, — говорит директор клиники Марина Белоус.
— Администраторы подробно рассказывают о стоимости, врачах и возможностях клиники, снимая тревогу ещё до начала лечения.
Внутри пациента встречают светлые кабинеты, современное оборудование и безупречная стерильность — за этим следят не просто строго, а с дополнительным внутренним контролем. С врачами работают ассистенты, ускоряя и облегчая процесс, а при комплексном лечении пациент получает персонального координатора, который берёт на себя организацию всех этапов. Опыт специалистов — более 10 лет практики у многих — позволяет не только качественно лечить, но и объяснять всё так, чтобы человек чувствовал себя спокойно.


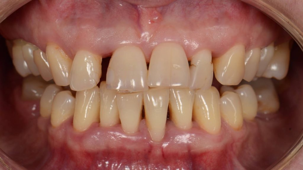
«Клиника Миллениум» постоянно обновляет технологии и недавно приобрела ещё два интраоральных сканера. Благодаря 3D-сканированию пациентам больше не нужно терпеть неприятные слепки, а врач получает точную цифровую модель для планирования протезирования, ортодонтического лечения или навигационной хирургии. Именно такая точность стала основой услуги, которая особенно востребована сегодня, — имплантации за один день. При сложных случаях — когда отсутствуют все зубы — в один день проводится имплантация и сразу же устанавливается временный протез. Это позволяет человеку выходить из «Клиники Миллениум» с полноценной улыбкой уже в день операции, а врачу — подготовить ткани и прикус для максимально физиологичной установки постоянной конструкции впоследствии.
Так технология превращает сложное стоматологическое лечение в понятный и комфортный путь. И чем больше люди выбирают профилактику и осознанный уход, тем реже им приходится сталкиваться с серьёзными проблемами. Но даже когда проблемы возникают, возможность «улыбнуться уже завтра» делает имплантацию за один день не просто медицинской процедурой, а возвращением качества жизни.
Новая улыбка за один день

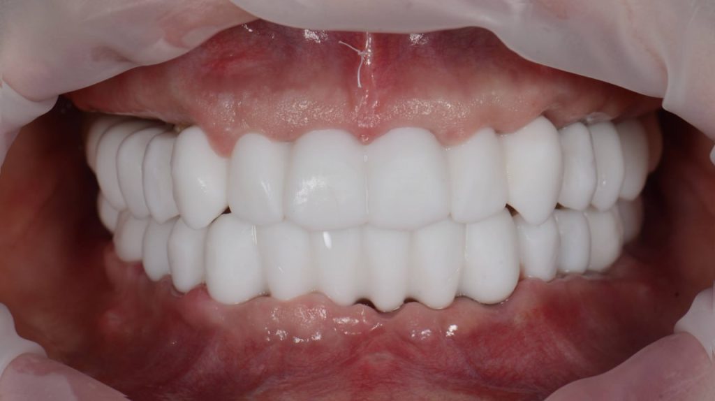
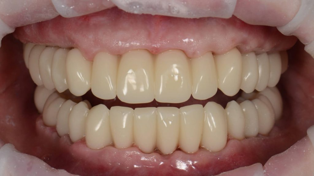
При полной утрате зубов и значительной атрофии челюстной кости современная стоматология предлагает одноэтапные имплантационные решения — методики All-on-4 и All-on-6, позволяющие восстановить зубной ряд за минимальные сроки. На период приживления имплантатов пациент носит лёгкие пластмассовые протезы, которые затем заменяются на постоянные с металлокерамическими или циркониевыми коронками. Такая комплексная имплантация возвращает не только функциональность, но и уверенность в себе, значительно улучшая качество жизни.

— Сначала мы делаем фотопротокол, снимаем оттиски, при помощи компьютерного моделирования расставляем импланты и моделируем будущий прикус, будущие зубы, — объясняет Игорь Черенкевич, хирург-ортопед.
На основе этих данных создаётся навигационный шаблон — пластинка с отверстиями, через которые сверлится кость.
— Все — в чётко заданной позиции. Поставить имплант не туда невозможно, — отмечает врач.
Главная особенность методики — в день операции пациент получает готовые зубы.
— Всё планируется заранее. Шаблоны изготавливаются, зубы печатаются на 3D-принтере, и мы прикручиваем их к имплантам в день операции, — рассказывает Черенкевич. — Такой подход позволяет одновременно формировать десну вокруг импланта: десна охватывает искусственный зуб как свой, это большой плюс — протез выглядит естественно, а пациент ощущает его как родной.
По его словам, новая методика исключает необходимость использования искусственной десны:
— Мы можем отказаться от красной части протеза и делать только зубы, за счёт того, что десна охватывает их естественным образом, — поясняет хирург. В результате протез выглядит максимально натурально, сохраняет форму и позволяет полноценно жевать, говорить и улыбаться.
Пациенты сначала могут испытывать лёгкий дискомфорт: кому-то поначалу может быть неудобно, потому что они привыкли к беззубой челюсти или к своим старым подвижным зубам. Но через день-два-три ощущения нормализуются, и зубы воспринимаются как свои.

Методика сочетает точность, скорость и функциональность: новые зубы не только выглядят естественно, но и возвращают уверенность в себе и привычное качество жизни.
— Пациенты улыбаются лучше, жевательные функции восстанавливаются, и это заметно сразу, — заключает Игорь Черенкевич.
Республика Беларусь, г. Минск, ул. Алибегова, 12
7790 — короткий номер для любого мобильного оператора,
+375 (17) 360-90-70
mclinic.client@gmail.com
УНП 193625776
